🦷 플라그가 뭐길래 충치를 만든다고?
– 치아 세균막(치태)과 충치의 관계 제대로 알기!
“양치 조금 덜 했다고 충치 생기진 않겠지…” 하지만 눈에 잘 보이지도 않는 플라그가 충치의 시작이라는 사실, 알고 계셨나요?
오늘은 치아에 생기는 세균막(플라그)가 어떻게 충치를 만드는지, 그리고 충치를 예방하기 위한 방법을 정리해볼게요.

❓ 플라그(치태)란 무엇인가요?
플라그는 치아 표면에 생기는 얇은 세균막이에요. 음식을 먹고 난 후 24시간 이내에, 세균과 침, 음식물 찌꺼기가 뭉쳐 형성됩니다.
보통 눈에는 잘 안 보이지만, 치아를 손톱으로 긁거나 치간칫솔을 사용하면 끈적한 하얀 막이 묻어나오는 것이 바로 플라그예요.
⚠️ 플라그가 충치를 만드는 과정
1. 세균이 당분을 먹고 산을 생성
플라그 속 세균들은 우리가 먹는 음식, 특히 **당분(설탕, 전분 등)**을 에너지원으로 삼아요.
그 대사 과정에서 **산(acid)**을 만들어내죠.
2. 산이 치아의 법랑질을 녹임
이 산은 치아 겉면의 단단한 층인 **법랑질(enamel)**을 서서히 부식시키기 시작해요.
이걸 **탈회(脫灰, demineralization)**라고 합니다.
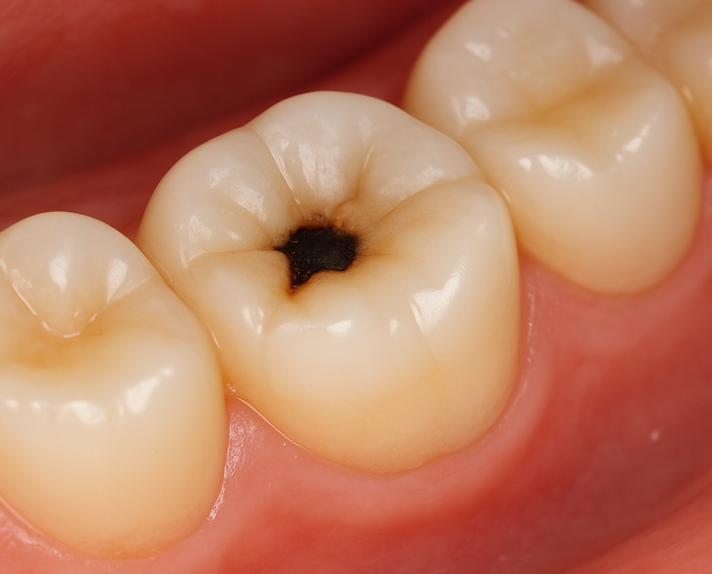
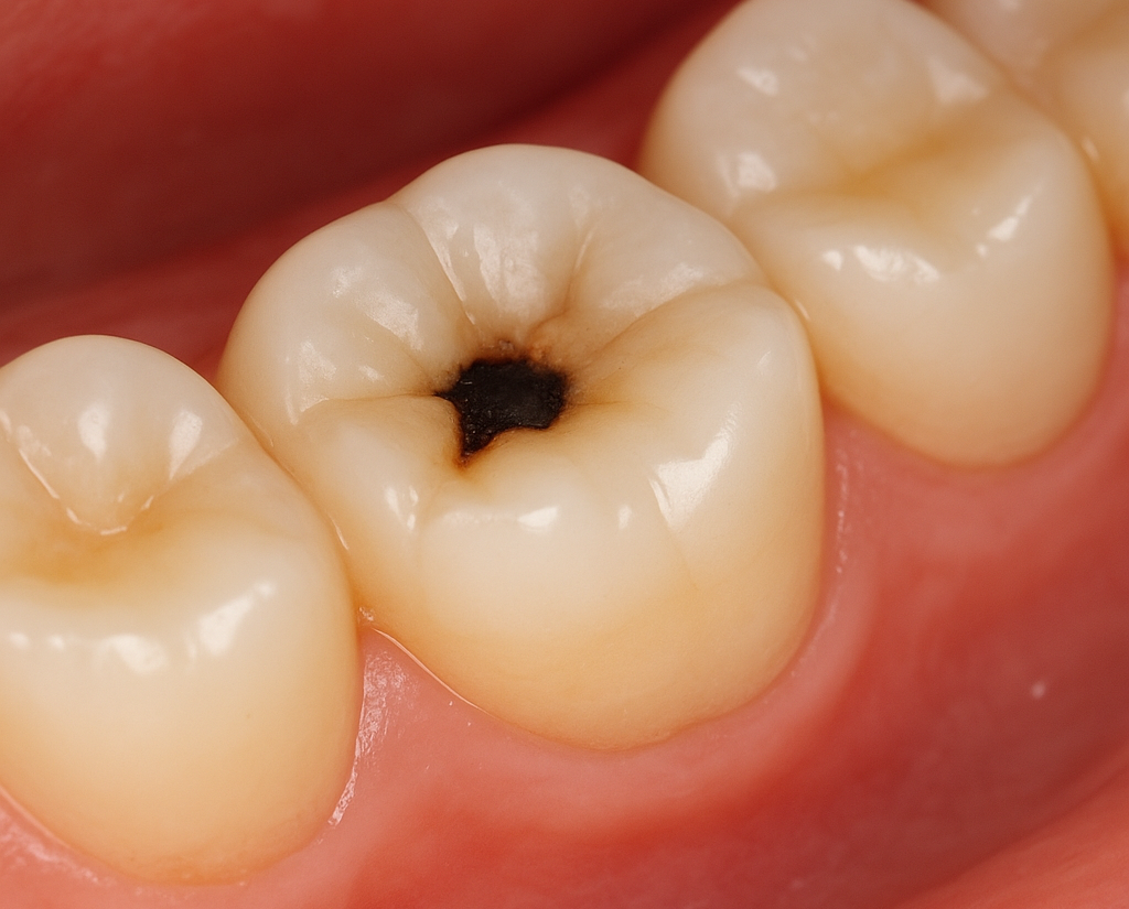
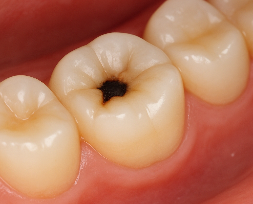
3. 법랑질 손상 → 충치로 발전
탈회가 반복되면, 치아 표면이 약해지고 충치균이 내부로 침투하게 됩니다.
결국 **충치(치아우식증)**가 생기는 거예요.

🔍 플라그가 잘 생기는 부위
- 어금니의 씹는 면 ‘홈’ 부분
- 치아와 잇몸 경계
- 치아 사이 공간
- 교정 장치 주변
- 사랑니 주변
👉 이 부위들은 칫솔질이 닿기 어렵고, 음식물 찌꺼기가 잘 끼기 때문에 플라그가 쉽게 쌓이는 곳이에요.
✅ 플라그를 줄이는 예방법
✔ 올바른 양치질
- 하루 2~3회, 2분 이상
- 칫솔질은 치아와 잇몸 사이까지 부드럽게
- 거울을 보면서 양치질해야 빼먹는 곳 없이 할 수 있어요! 아래 앞니 안쪽부터 닦아보세요!
✔ 보조도구 적극 활용
- 치실, 치간칫솔, 워터픽은 필수!
- 특히 치아 사이와 잇몸 경계는 치실 없이는 플라그 제거가 어렵습니다.
✔ 당분 섭취 조절
- 단 음식을 자주, 오래 머금으면 세균 활동이 활발해져요.
- 먹더라도 물로 헹구거나 바로 양치해 주세요.
✔ 정기적인 스케일링과 구강검진
- 눈에 안 보이는 플라그와 치석은 전문가의 손으로 제거해야 합니다.
- 최소 6개월에 한 번은 치과 방문!

💡 마무리 TIP
플라그는 충치뿐 아니라 잇몸질환, 입냄새, 심지어 전신질환으로도 연결될 수 있어요.
눈에 보이지 않는 세균막이지만, 작은 습관 하나하나가 치아 건강을 지키는 가장 강력한 무기랍니다!
우리 모두 건강한 치아로 맛있는 음식 먹으면서 행복하자구요 ^-^
'일상 건강관리' 카테고리의 다른 글
| 자기 전 양치, 왜 필수인지 알려드림! (6) | 2025.04.19 |
|---|---|
| 잇몸병, 방치하면 치아 잃습니다⚠️ (2) | 2025.04.17 |
| 치석, 왜 이렇게 빨리 생기죠? (0) | 2025.04.16 |
| 치아가 찌릿? 치아가 시린 이유는 뭘까? (2) | 2025.04.16 |
| "치아에 금이 갔어요?! 증상부터 예방법, 치과 치료까지 완벽 정리!" (1) | 2025.04.16 |